
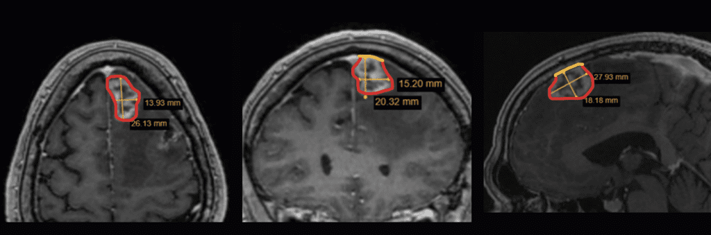
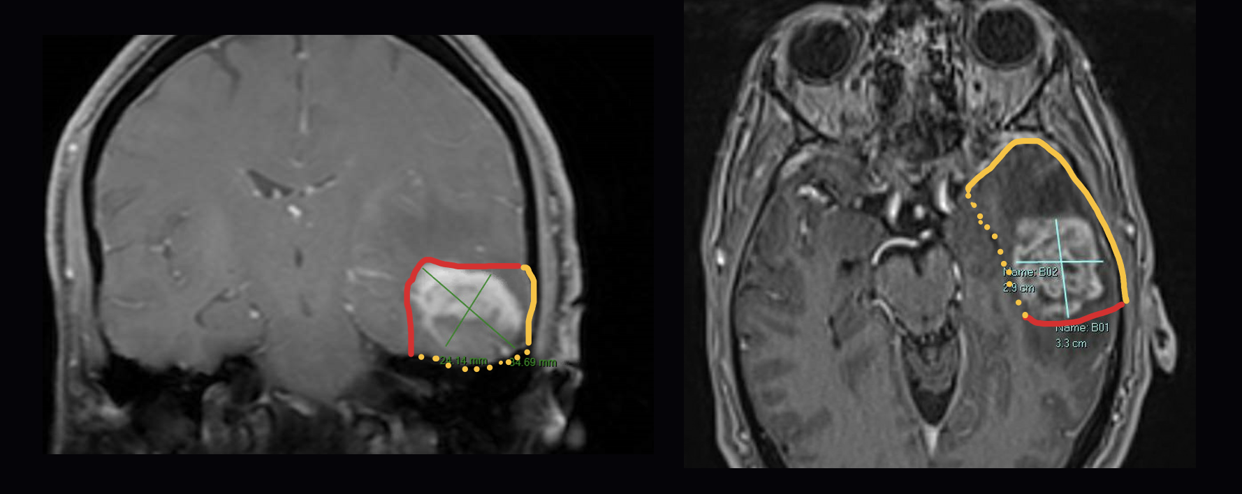
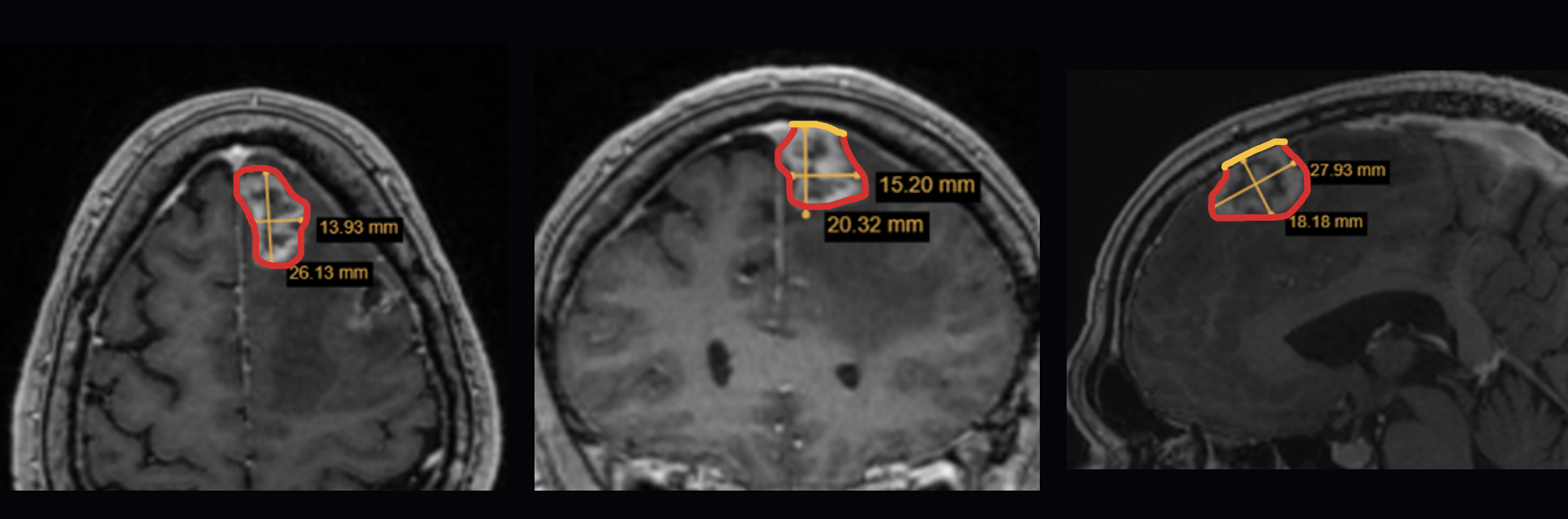
Tool for estimation of at-risk post operative tumor bed surface area
Brain Resection Cavity Estimator Disclaimer
No information will be collected, stored or distributed by GT Medical Technologies.
This tool is for use in conjunction with the US instructions for use.
Assumes elipsoidal cavity with expected contraction.
Coverage for tumors that don’t meet those requirements won’t meet this model.
The Brain Resection Cavity Estimation Tool is intended to assist with tumor bed calculations, based on relevant patient data, for patients undergoing tumor resection surgery with GammaTile.
The Brain Resection Cavity Estimation Tool is not intended for use in the diagnosis of disease or other conditions, or in the cure, mitigation, treatment, or prevention of disease.
THIS WEBSITE IS INTENDED EXCLUSIVELY FOR THE USE OF QUALIFIED AND EXPERIENCED MEDICAL PRACTIONERS.
The tools available on this website do not give professional advice, diagnostic results or treatment decisions. Medical Practitioners who use the Brain Resection Cavity Estimation Tool should exercise their own clinical judgment as to the information provided.
GT MEDICAL TECHNOLOGIES MAKES NO REPRESENTATION OR WARRANTY WITH RESPECT TO THE USE OF THE BRAIN RESECTION CAVITY ESTIMATOR, EXPRESS OR IMPLIED, INCLUDING, WITHOUT LIMITATION, ANY WARRANTY OF MERCHANT ABILITY OR OF FITNESS FOR A PARTICULAR PURPOSE.


